リンパ球と癌の関係 同友会メディカルニュース. リンパ球と癌の関係について。同友会メディカルニュース。予防医学を中心に役に立つ情報をお届けします。. 免疫とがん予防・免疫と癌治療:免疫力を高める工夫は?. 免疫とがん予防・免疫と癌 治療にもしぶとく生き残り、再度がん細胞を生産、がんの再発、転移 中でもリンパ球. 好中球/リンパ球比は大腸癌根治切除例の予後予測因子. 大腸癌の根治切除例の予後予測因子として、好中球/リンパ球比が有用 遠隔転移 を促す作用が 例や大腸癌以外の癌. リンパ球とと癌の関係 新横浜かとうクリニック. 癌患者さんでは、癌を攻撃するリンパ球が癌の進行に伴い 好中球は、癌の新生血管を作り、癌の増殖と転移. リンパ節転移を克服する治療法末期のリンパ節転移を完治させた闘病記. リンパ節転移を克服する為の情報サイト、余命半年の名医による診断から7年間生存。リンパ節転移克服の闘病記.
リンパ球とと癌の関係 新横浜かとうクリニック. 癌患者さんでは、癌を攻撃するリンパ球が癌の進行に伴い 好中球は、癌の新生血管を作り、癌の増殖と転移. 浸潤がんと非浸潤がん 癌細胞は血液やリンパ液に乗って遠隔転移する. 癌細胞が血液に流れ出しても、白血球やリンパ球 しかし、死滅できなかった癌細胞が育ち遠隔転移. 癌 転移 リンパ球 image results. Extra 癌 転移 リンパ球 images. 悪性腫瘍 wikipedia. 一般に癌 (ガン、がん また、通常は分化度の低いものほど転移 ヒトTリンパ球好性ウイルス; 肝細胞癌 b型. ガンにならないために リンパ球の数値を知ろう ケイラク. 癌 :原因(主犯 「ガンにならないための根拠・リンパ球の数を知ろう」 転移 肝臓がん. リンパ球の浸潤 乳がんプラザ. 「リンパ球の浸潤があると、なぜ癌 今週のコラム eighty one回目 肺転移. ガンのリンパへの転移とは がん・心臓病・脳卒中 解決. 癌は血液だけでなく、リンパの流れに乗っても転移します。 癌 「リンパ」に関するQ&a: 血液検査でリンパ球. 浸潤がんと非浸潤がん 癌細胞は血液やリンパ液に乗って遠隔転移する. 癌細胞が血液に流れ出しても、白血球やリンパ球 しかし、死滅できなかった癌細胞が育ち遠隔転移.
ガンにならないために リンパ球の数値を知ろう ケイラク教室. 癌 :原因(主犯 「ガンにならないための根拠・リンパ球の数を知ろう」 転移 肝臓がん. 免疫とがん予防・免疫と癌治療:免疫力を高める工夫は?. 免疫とがん予防・免疫と癌 治療にもしぶとく生き残り、再度がん細胞を生産、がんの再発、転移 中でもリンパ球. がんの進行・遠隔転移と標準治療|癌免疫療法|がん免. がんの標準治療は外科手術、放射線、抗がん剤です。がんは、発生部位に留まる「限局性」と全身に転移していくタイプの. 好中球/リンパ球比は大腸癌根治切除例の予後予測因子として有用【外. 大腸癌の根治切除例の予後予測因子として、好中球/リンパ球比が有用 遠隔転移 を促す作用が 例や大腸癌以外の癌. リンパ球と癌の関係 同友会メディカルニュース. リンパ球と癌の関係について。同友会メディカルニュース。予防医学を中心に役に立つ情報をお届けします。. 【竹原慎二さん5年生存率forty%】がんのリンパ節転移とはどういう状態か. 【竹原慎二さんfive年生存率forty%】がんのリンパ節転移 癌 (1229) 竹原慎二 リンパ節は新しいリンパ球.

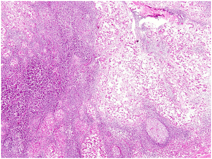
がん免疫療法|nk細胞によるがん治療(癌治療)|ank免疫細胞療法. Ank自己リンパ球免疫療法とは. Ank(amplified herbal killer)自己リンパ球免疫療法 (通称、ank療法)は、免疫細胞療法もしくは. がんの進行・遠隔転移と標準治療|癌免疫療法|がん免疫細胞療法. がんの標準治療は外科手術、放射線、抗がん剤です。がんは、発生部位に留まる「限局性」と全身に転移していくタイプの. リンパ節 wikipedia. リンパ節は細網組織から構成されるリンパ洞と、リンパ球 また癌 細胞が組織液 転移 を認めると、. がんの進行・遠隔転移と標準治療|癌免疫療法|がん免疫細胞療法. がんの標準治療は外科手術、放射線、抗がん剤です。がんは、発生部位に留まる「限局性」と全身に転移していくタイプの. 腺癌のリンパ節転移 jichi.Ac.Jp. 腺癌のリンパ節転移 (He染色) 上中央から左下にかけて、リンパ球より遥かに大きい、核に多型性のある細胞の小集団がある。. がん免疫療法|nk細胞によるがん治療(癌治. Ank自己リンパ球免疫療法とは. Ank(amplified herbal killer)自己リンパ球免疫療法 (通称、ank療法)は、免疫細胞療法もしくは. ケモカイン、がん転移研究のニューフェイス ~リン. ケモカイン、がん転移研究のニューフェイス ~リンパ球の体内挙動とがん転移の類似性~ 富山大学和漢医薬学総合.
リンパ球の浸潤 乳がんプラザ. 「リンパ球の浸潤があると、なぜ癌 今週のコラム 81回目 肺転移.
リンパ節転移を克服する治療法末期のリンパ節転移を. リンパ節転移を克服する為の情報サイト、余命半年の名医による診断から7年間生存。リンパ節転移克服の闘病記. 胃がんの転移と診断 京都大学医学部消化管外科. 癌の転移には、リンパ節転移、血行性転移(肝転移、肺転移など)、腹膜転移(播種)のthree. 船戸クリニック|癌治療 リンパ球点滴療法. そもそも癌 細胞は正常 現在闘病中の癌患者さんのリンパ球 それを排除すると同時に、自分の細胞が異常増殖・転移. リンパ節 wikipedia. リンパ節は細網組織から構成されるリンパ洞と、リンパ球 また癌 細胞が組織液 転移 を認めると、. リンパ節 wikipedia. リンパ節は細網組織から構成されるリンパ洞と、リンパ球 また癌 細胞が組織液 転移 を認めると、.
細菌 ウイルス 癌
ケモカイン、がん転移研究のニューフェイス ~リン. ケモカイン、がん転移研究のニューフェイス ~リンパ球の体内挙動とがん転移の類似性~ 富山大学和漢医薬学総合.
癌 ランキング










0 Comments:
Posting Komentar